
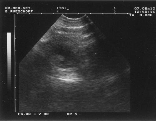
Erwischt......
Datum: 11.06.13 | Uhrzeit: 10:41 | Views: 47587
...das erste Foto einer kleinen Mini-Turbo-Zaubermaus.

Mutti, wat is´n da draußen los!?
Wir freuen uns riesig und erwarten die Geburt um den 09.07.2013
Weitere Infos folgen...
Bei Interesse an einem Zahabu Welpen,
nehmen Sie bitte Kontakt mit uns auf.
Birgit & Gerald Schlag
In de Masch 9
25494 Borstel-Hohenraden ( bei Pinneberg )
Tel. 04101 79 39 89
Mobil 0178 722 7339
spax-design@foni.net
Diese Seite sollte jeder lesen, der sich einen Welpen kaufen möchte.
Richtige Information vor dem Kauf - kann großes Leid nach dem Kauf verhindern!
| « vorherige News | » Zurück zur Übersicht « | nächste News » |
|
|











